肥満細胞腫
肥満細胞腫
満細胞腫(以下MCT)は、皮膚腫瘍中、犬で第1位、猫で第2位に位置づけられる発生率の高い腫瘍です。MCTの生物学的挙動、推奨される治療、予後は犬と猫で異なります。犬のMCTは、良性の挙動を示すものから、悪性の挙動を示すものまで様々であり、その挙動は組織学的グレードに大きく依存します。肥満細胞内に存在する細胞内顆粒には、ヒスタミン、ヘパリン、プロスタグランジン、他の血管作動性アミンや蛋白分解酵素などが含まれ、それらが放出されると、低血圧、胃・十二指腸潰瘍、浮腫、局所血液凝固不全、創傷治癒遅延などを起こします。犬のMCTは、リンパ節転移や遠隔転移を起こす可能性がありますが、猫の皮膚MCTはほとんどが良性です。
診断
MCTは、細針吸引(FNA)による細胞診(写真1)で診断できますが、組織学的グレードは判定できません。広範囲のマージンをとった外科切除が難しい部位に腫瘍が存在する場合、切開生検を実施することがあります。それは、組織学的グレードの確認が手術計画を立てる際に有用となるからです。最低、グレードⅠは外側1cmマージン、グレードⅡは外側2cmマージン、グレードⅢは外側3cm以上の切除が必要です。
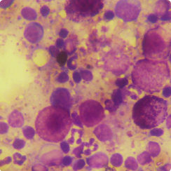
画像が入ります。

(写真1)肥満細胞腫の細胞診写真。
多数の顆粒を含んだ円形細胞が認められる。
臨床ステージング
所属リンパ節の触診と可能であればFNAを実施します。血液検査、血液生化学検査はもちろん、腹部超音波検査も必要であり、超音波で異常所見がみられるときや高グレードのMCTが疑われるときには、肝臓や脾臓の超音波ガイド下FNAによる細胞診も実施します。肺転移は非常に稀ですが、他の肺疾患や心臓疾患を除外するために、胸部レントゲン検査も必要となります。以上の検査所見を基に、皮膚肥満細胞腫に対して以下の臨床ステージングシステムが用いられます。
臨床ステージ分類
- ステージ0 不完全切除(顕微鏡学的に)された単発の腫瘍で局所リンパ節に浸潤なし
- ステージ1 真皮に限局した単発の腫瘍で局所リンパ節に浸潤なし
- ステージ2 真皮に限局した単発の腫瘍で局所リンパ節への浸潤あり
- ステージ3 多発性の腫瘍(※)、または大型で浸潤性の腫瘍で局所リンパ節への浸潤あり、またはなし
- ステージ4 遠隔転移または全身性に浸潤している腫瘍すべて
※多発性腫瘍では予後が悪いというわけではありません
病理組織学的分類
グレードI 分化型 低グレード
細胞質境界明瞭。核はそろっていて、球形または卵円形。有糸分裂像はまれ、または存在しない。大型で濃染性の細胞質内顆粒が豊富に認められる。
グレードII 中間型 中等度グレード
細胞が密に集まっており細胞質境界が不明瞭。有糸分裂像は少ない。退形成のものより顆粒は多い
グレードIII 未分化型 高グレード
細胞成分に富む未分化な細胞質境界。核のサイズおよび形の不整。有糸分裂像多数。まばらな細胞質内顆粒
治療
外科的切除(写真2、3参照)は単独で最も効果的な治療であり、大多数のMCTの犬で推奨されます。マージンは、少なくとも腫瘍外側2~3cm、深部は筋膜1層を含めた切除が必要です。このような切除を実施した場合の局所再発率は通常10%以下です。不完全切除例では、術後に放射線療法を実施し、十分なマージンをとっての切除が困難な部位にある腫瘍に対しては、外科切除とその後に放射線療法を組み合わせて行います。化学療法は、グレードⅢの場合、脈管内浸潤やリンパ節転移を認める場合、不完全切除例で何らかの理由で放射線療法が実施できない場合などで考慮されます。化学療法剤は、ビンブラスチン、プレドニゾロン、CCNU(ロムスチン)などが使用されています。また、最近では進行例に対して、メシル酸イマチニブを使用した分子標的療法も有効な治療となっています。

(写真2)右大腿部肥満細胞腫グレードIIの症例。
腫瘍外側3cmにマーキングした所。

(写真2)右大腿部肥満細胞腫グレードIIの症例。
(写真3)写真2と同一症例。腫瘍外側3cm、深部は筋膜1枚のマージンで切除している。
予後
犬の皮膚MCTの予後は、「要注意」から「優良」と様々であり、組織学的グレード、臨床ステージ、完全切除の有無などによって大きく異なります。犬種では、ボクサー、パグ、ゴールデンレトリーバーは比較的予後が良いことが多いといわれています。グレードⅠのMCTは、しばしば外科的切除により完治し、2年生存率は100%です。グレードⅡのMCTの予後を判定することは難しく、グレードⅠに近い挙動をとるものもあれば、グレードⅢに近い挙動をとるものもあります。グレードⅢのMCTの予後は要注意であり、外科切除単独では、1年生存率は、24%です。しかし、放射線治療と組み合わせることで、中央生存期間28ヶ月、1年および2年生存率はそれぞれ71%と39%と改善されます。
猫の皮膚MCTは、通常外科的切除にて完治するため予後良好ですが、多発性のMCT(4ヶ所以上)の中央生存期間は375-582日と予後不良です。また、内臓への転移は予後不良と関連しており、中央生存期間はわずか284日です。