はじめに
血管肉腫は血管内皮由来の悪性腫瘍です。血管肉腫は非常に悪性度が高く、高率に肺や全身へ転移を引き起こします。好発部位としては脾臓、肝臓、心臓、皮膚であり、腎臓や後腹膜などその他の部位にも稀に発生します。最も一般的な発生部位は脾臓であり、脾臓に発生する悪性腫瘍の45-50%を占めると言われています。脾臓の血管肉腫は非常に脆いため、破裂して出血したり、隣接する器官と癒着することもしばしばあり、急性に血管肉腫が破裂して致死的になることもあります。
診断
血管肉腫の発生部位により、臨床症状は大きく異なります。
脾臓を始めとした内臓の血管肉腫(脾臓、肝臓等)によく見られる症状は、急性の衰弱ないし虚脱(いわゆるショック状態)です。この場合、腫瘍破裂により腹腔内出血が起こり、粘膜蒼白、頻脈、不整脈、意識レベルの低下、触知可能な腹部腫瘤と腹水(血腹)等が認められます。その他には、嗜眠、食欲不振、体重減少、腹部膨満等の症状を示すこともあれば、健診時に偶発的に腫瘤を発見するなど無症状の場合もあります。
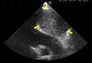
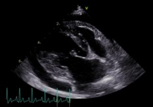
心臓血管肉腫は通常、心タンポナーデに関する症状である活動不耐、呼吸困難、腹水貯留、不整脈等を示します(画像1・2)。

画像1:右心耳領域の腫瘤:血管肉腫を疑う

画像2:心嚢水貯留
上記のように、症状は多岐に渡りかつ転移性の高い腫瘍であり、脾臓と心臓のように複数臓器に存在する可能性があるため、全身の評価が極めて重要となります。
全身の評価には血液検査、胸部レントゲン検査、腹部超音波検査、心臓超音波検査を行います。
脾臓血管肉腫など腹腔内に腫瘍が存在し、サイズが大き過ぎる場合や隣接臓器との関係性が分かりにくい場合にはCT検査も実施する場合もあります。検査結果から、臨床ステージ分類を行います(臨床ステージングの項参照)。
皮下や皮下組織を除く臓器において血管肉腫を疑う場合には、細胞診検査を行うことは多くありません。理由としては、血管肉腫では血液による希釈と、凝固異常による出血のリスクがあるからです。皮膚や皮下組織の場合には、細胞診を実施して血液のみが採取された場合には、血管肉腫を疑う必要があります。

画像3:皮下〜筋肉の血管肉腫:腰部皮下、15 cm × 8 cm

画像4:上記の術中写真

画像5:乳腺部付近の皮下腫瘤。細胞診では血液のみ採取された。外科摘出により血管肉腫と診断した。

画像6:上記の症例のCT画像。複数個所に皮下腫瘤(黄色矢印)を認め、全て血管肉腫を疑う。
最終的な確定診断を下すには外科切除による組織検査が必要です。
臨床ステージング
| T 原発性腫瘍 | |
| T0 | 腫瘍が認められない |
| T1 | 腫瘍の直径 5 cm 未満、原発部位に限局 |
| T2 | 腫瘍が5 cm 以上または腫瘍破裂、皮下織に浸潤 |
| T3 | 筋肉をはじめとする隣接組織に腫瘍が浸潤 |
| N 所属リンパ節 | |
| N0 | 所属リンパ節への転移が認められない |
| N1 | 所属リンパ節への転移が認められる |
| N2 | 遠隔リンパ節への転移が認められる |
| M 遠隔転移 | |
| M0 | 遠隔転移が認められない |
| M1 | 遠隔転移が認められる |
| 病期分類 | |
| I | T0またはT1, N0, M0 |
| II | T1またはT2, N0またはN1, M0 |
| III | T2またはT3, N0, N1, またはN2, M1 |
治療
脾臓等に発生した内臓血管肉腫の場合、第一選択は外科手術による腫瘍の摘出となります。腫瘍出血により虚脱状態に陥っている場合は、ショックに対する適切な治療を優先し、状態が改善した後に手術を行います。重度の貧血、血小板減少、凝固異常が認められる場合は輸血が必須となります。

画像7:脾臓血管肉腫 (黄色点線丸)
心臓血管肉腫に関しては、外科手術が可能な場合もありますが、適応は限定的となり、周術期の死亡率は13%とリスクは高い手術となります。また、心臓血管肉腫による心タンポナーデに対する心膜切除術の有効性は不明であり、心膜で抑えられていた出血が悪化し、重度の血胸となる可能性があるため、当院では実施することは多くありません。多くの場合には、ドキソルビシンによる化学療法が主体となります。
皮膚血管肉腫は、原発性の場合には十分なマージンを確保して外科的切除を行います。
一般的に血管肉腫は転移率が高く、外科的切除のみでは不十分であるため、補助的化学療法が推奨されます。
ドキソルビシン単剤のプロトコールが最も頻繁に使用されていますが、低用量の抗がん剤を用いたメトロノミック化学療法などのプロトコールもあるので動物の状態や飼い主様と相談して決定します。
免疫療法は補助的な治療として、効果が認められる場合があります。ほとんど副作用がないことが免疫療法のメリットとなります。
当院では、インターフェロンγによる治療を中心に実施しています。
予後
脾臓の血管肉腫に関しては外科手術のみの場合で生存期間中央値は 19-86日と非常に短く、予後は極めて悪いです。しかし、外科手術と化学療法を併用した場合には、生存期間中央値は 141-179日であり、生存期間の延長が期待されます。但し、この治療法でも1年生存率は10%未満です。
心臓血管肉腫に関しては、無治療での生存期間中央値が 0.4ヶ月、ドキソルビシン単剤で生存期間中央値が 3.9~4.7ヶ月であり、生存期間の延長が期待されます。
皮膚血管肉腫に関しては、真皮血管肉腫(真皮下への浸潤なし)の外科切除での生存期間中央値は 780日、皮下織や筋肉の血管肉腫の生存期間中央値は 172日、皮下織・筋肉への浸潤がある場合の生存期間中央値は 307日とされており、皮膚に限局している場合には長期生存が可能な場合もあります。
ご紹介の流れ
血管肉腫と診断された、または疑われる患者様を当院にご紹介の場合は、紹介フォーム(リンクが開きます)にて腫瘍科をご指定ください。紹介フォームにより、診療情報を事前にご提供いただくことで、よりスムーズな医療連携が可能となりますのでご協力をお願いいたします。
なお、患者様の来院予約は別途必要です。当日・翌日のご予約をご希望の場合は診療時間内に下記番号までお電話をお願いいたします。2日後以降の日程でも差し支えない場合は、当院初診のご家族様にはこちらの新患様予約申込(リンクが開きます)からご入力いただくようお伝えください。翌診療日に当院よりお電話し新患様の来院予約を確定いたします。
患者様が当院に来院歴がある場合は、ご家族様から当院へ直接ご連絡いただくようお伝えください。
松原本院 ☎ 072-331-3493
大阪府松原市田井城2-1-7
天満橋医療センター ☎ 06-6354-4140
大阪府大阪市北区天満3-2-16