はじめに
前十字靭帯とは…
膝関節の中に存在し、大腿骨と脛骨をつなぐ靭帯であり、頭内側帯と尾外側帯の2つの帯で構成されています。

前十字靭帯は、
①脛骨の前方への過剰な変位を制限する
②膝関節の過度な伸展を制限する
③脛骨の過度な内旋を制限する
といった重要な役割を果たしています。
そのため、前十字靭帯に機能障害が起こると、正常な歩行機能を保つことができなくなってしまいます。
犬における前十字靭帯断裂の病因は解明されていませんが、加齢、遺伝的素因、肥満、内分泌疾患の存在、感染、免疫介在性疾患、早期の避妊去勢の影響などとの関連性が示唆されています。
診断
以下の診断方法を組み合わせて総合的に判断していきます。
①視診
患肢への負重、大腿部の筋肉量、膝関節の大きさ(内側バトレス)、シットテスト、歩様
②触診
大腿部の筋肉量、内側バトレス、関節液の貯留、疼痛反応、膝関節の可動域、屈伸時のクリック音、脛骨前方引き出し試験(ドロワーテスト)、脛骨圧迫試験(コンプレッションテスト)
③X線検査
ファットパッドサイン、脛骨の前方変位、膝下筋種子骨の変位、骨棘形成
④超音波検査
靭帯のエコー源性や形態、関節液貯留、脛骨圧迫試験による大腿骨と脛骨の変位
⑤関節鏡検査
触診や画像検査では難しい部分断裂の診断や、半月板損傷の有無の評価に有用
治療
正常な歩行機能を目指すためには、基本的に外科的治療が必要となります。
外科的治療にはTPLO(脛骨高平部水平化骨切り術)、関節外制動法、CBLO、TTAなど様々な術式がありますが、合併症の発生率や機能回復の面から、当院では主にTPLOを実施しております。
①TPLO(脛骨高平部水平化骨切り術)
脛骨高平部角(TPA:Tibial Plateau Angle)を5度前後に矯正することで、膝関節への負重時に生じる脛骨前方推進力(CrTT)を減弱させることを目的とした、近位脛骨の矯正骨切り術です。
松原動物病院では前十字靭帯断裂に対して本術式を主に採用しております。
利点
◎ 術後の歩行機能回復までの期間が他の術式と比較して短い
(※1)Nelsonらは、TPLOとECR(関節外制動法)の長期的な機能回復についてフォースプレート歩行分析による比較を行った結果、TPLO群はECR群よりも早期に改善し、術後6ヶ月から1年で正常犬と同等の機能回復がみられたと報告している。
◎ 他の術式と比較して、より正常に近い歩行機能回復が得られる
(※2)Krotscheckらは、TPLOおよびTTA(脛骨粗面前進化術)、ECRの術後機能回復をフォースプレート歩行分析によって比較し、WalkとTrotの両方において術後6〜12ヶ月目で正常対称群と同等の機能回復を示したのはTPLOのみであったと報告している。
◎ 術後の変形性関節症の進行スコアは関節外法と比較して少ない
(※3)Lazarらは、術後のX線検査による変形性関節症スコアの遡及的長期比較において、TPLOと関節外法の双方において変形性関節症は進行するものの、進行のスコアはTPLO群の方が少なく、関節外法ではTPLO群の548倍のスコア上昇があったと報告している。
欠点
△ TPLOソーなど器具を揃える必要があり、比較的高価である
△ 合併症率は9.7〜28%(ただし再手術が必要となる合併症は2〜6%と少ない):感染、インプラント破損、脛骨骨折、腓骨骨折、膝蓋靭帯炎、ロックバック(術後にTPAが変化する現象)など
②関節外制動法(ラテラルスーチャー法)
外側腓腹筋種子骨の周囲と脛骨粗面付近の脛骨稜に開けた骨孔に、合成糸を通して締結することで、脛骨の前方変位・内旋・膝関節の過伸展の制動を得る手術法です。
利点
◎ 特殊な手術器具を多く必要としないため、比較的安価である
欠点
△ 術後のインプラント破綻(とくに高齢、肥満、内分泌疾患のある症例は関節の繊維化が乏しいため、縫合糸が緩むあるいは切れるといった合併症が起こりやすい)
△ 2週間程度の包帯と8週間程度の安静が必要であり、長期の自宅管理が必要
△ 合併症率は17〜25%:感染、インプラント破綻、組織反応、空洞形成、術後の半月板損傷、腓骨神経の損傷、術後の不安定など
松原動物病院でTPLOを実施した症例
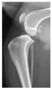
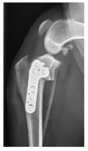
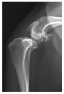
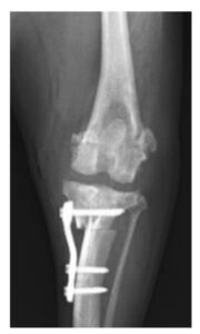
症例1. TPLOを実施した症例(7歳、ビーグル、9 kg)
![]() |
![]() |
![]() |
![]() |
| 治療前(側方像) | 治療後(側方像) | 治療前(前後像) | 治療後(前後像) |
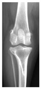
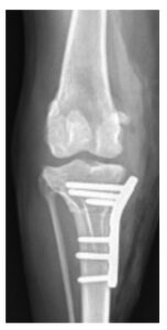
症例2. 膝蓋骨内方脱臼併発症例に対してTPLO-Mを実施した症例(12歳、チワワ、3 kg)
TPLO-M(TPLO-medialization)とは、膝蓋骨内方脱臼を伴う前十字靭帯断裂の犬において、
TPLOに脛骨粗面転移術を併用するのではなく、TPLOの脛骨近位骨片を内側に移動させることで、膝関節伸展機構のアライメントを整復する方法です。
![]() |
![]() |
![]() |
![]() |
| 治療前(側方像) | 治療後(側方像) | 治療前(前後像) | 治療後(前後像) |
ご紹介の流れ
前十字靭帯断裂疑いまたは診断された患者様を当院にご紹介の場合は、紹介フォーム(リンクが開きます)にて整形外科をご指定ください。紹介フォームにより、診療情報を事前にご提供いただくことで、よりスムーズな医療連携が可能となりますのでご協力をお願いいたします。
なお、患者様の来院予約は別途必要です。当日・翌日のご予約をご希望の場合は診療時間内に下記番号までお電話をお願いいたします。2日後以降の日程でも差し支えない場合は、当院初診のご家族様にはこちらの新患様予約申込(リンクが開きます)からご入力いただくようお伝えください。翌診療日に当院よりお電話し新患様の来院予約を確定いたします。
患者様が当院に来院歴がある場合は、ご家族様から当院へ直接ご連絡いただくようお伝えください。
松原本院 ☎ 072-331-3493
大阪府松原市田井城2-1-7
天満橋医療センター ☎ 06-6354-4140
大阪府大阪市北区天満3-2-16
参考文献
(※1)Nelson, S. A., Krotscheck, U., Rawlinson, J., et al.: Long-term functional outcome of tibial plateau leveling osteotomy versus extracapsular repair in a heterogeneous population of dogs. Vet. Surg:, 2013; 42(1): 38-50.
(※2)Krotscheck, Ursula, et al.: “Long-Term Functional Outcome of Tibial Tuberosity Advancement vs. Tibial Plateau Leveling Osteotomy and Extracapsular Repair in a Heterogeneous Population of Dogs.” Veterinary Surgery, vol. 45, no. 2, 2016, pp. 261–268.
(※3)Lazar, T. P., Berry, C. R., deHaan, J. J., et al.: Long-term radiographic comparison of tibial plateau leveling osteotomy versus extracapsular stabilization for cranial cruciate ligament rupture in the dog. Vet. Surg., 2005; 34(2): 133-141.







