はじめに
肛門嚢アポクリン腺がん(AGASACA) は、肛門周囲の悪性腫瘍の17%、犬の皮膚・皮下腫瘍全体の 約2% を占めています。生物学的悪性度が高く、転移率が非常に高い腫瘍です。疫学的には以下のような特徴があります。
- 年齢:高齢犬に多い(平均9-11歳)が、5歳でも報告あり
- 性差:明確な性差はないとされますが、去勢雄ではリスクが上昇します
- 犬種素因:イングリッシュ・コッカー・スパニエル、ジャーマン・シェパード・ドッグ、ダックスフンドなどで発生リスクあり
AGASACAは早期発見(リンパ節転移を起こす前)して治療することで予後良好となる可能性が高い腫瘍です。
そのため、中高齢犬では身体一般検査の中に会陰部の触診とともに直腸検査(直腸指診)をぜひ組み込んでいただきたいと考えています。肛門嚢に小さな腫瘤が検出できることがあります。
余談ですが、トリマーさんが発見してくれて来院するパターンも時々あります。
生物学的特徴と転移
転移頻度と部位
- 初診時に約50%がリンパ節転移を起こしており、遠隔転移は約5%で認められます。
- 転移部位:
- 腰下リンパ節群(最も一般的であり、鼠径リンパ節への転移は稀です。)
- 遠隔転移として:肺、肝、脾、骨が多い。他腹腔内臓器への報告もある
重要な臨床的特徴として、以下の点が挙げられます。
- リンパ節腫大を伴わずに肺・骨転移が出現することがある
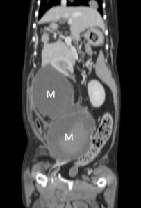
- 原発腫瘍が極めて小さくても巨大な転移リンパ節を形成しうる(図1)
- 約10%両側性に発生(多くは後に反対側に発生だが同時に両側もある)

(図1)右肛門嚢に小豆大の腫瘤を認めた症例の腹部CTコロナル像。巨大なリンパ節転移巣(M)が認められる
腫瘍随伴性高Ca血症
- 発生率は16–90% と報告により大きく異なりますが、【25%程度】というのが目安です。
- 原因:PTHrP (上皮小体ホルモン関連蛋白)産生
- PTHrpは血液検査で測定することができますが、AGASACAのある症例では測定する必要はありません。
- 臨床的意義:
- 転移・再発のマーカーとして有用である可能性があります。
- 高Ca血症の徴候は、腫瘍量減少後にのみ正常化することが多いです。
- 予後因子としての位置づけ:
進行した腎機能不全がなければ、独立した予後不良因子とは言えないとする報告もあり、結論は一貫していません。
診断
症状
※無症状で、偶発的な発見も多い腫瘍です
1. 原発巣由来の症状
・腫脹、分泌物、出血、お尻を擦り付ける(scooting)、会陰部を舐めるなど
2. 転移腰下リンパ節群由来(骨盤腔狭小化)の症状
・しぶり、 細い便、 リボン様便、便秘、食欲低下など
3. 高Ca血症に由来する症状
・PU/PD、食欲低下、元気消失、嘔吐 など
身体一般検査
- 肛門嚢触診と直腸検査は必須です。
- 参考:猫では会陰部潰瘍/分泌が最多(最大85%)であり、肛門嚢アブセスと誤診されやすいので注意が必要です。
細胞診
- FNAによる細胞診で暫定診断可能
血液および血液化学検査のポイント
- 高Ca血症の評価を含めること。イオン化Caの測定が推奨されます。
- 高Ca血症は腎障害を起こし得るため、腎機能検査・尿検査が重要です。
画像検査
- 胸部X線検査:3方向撮影
- 腹部超音波検査:
- 腰下リンパ節群(内側腸骨リンパ節や内腸骨リンパ節)の検出に優れていますが、骨盤腔内の転移は評価できないのが弱点です。
- 転移リンパ節は嚢胞性あるいは充実性であり、それらが混在していることもあります。
- 腹部X線検査:
- 筆者はCT検査を予定しているときは実施していません。
- 大きなリンパ節転移ならば検出できますが小さなものは検出できません。
- 骨浸潤や骨転移の可能性がある場合には実施すべき検査です。
- 造影CT検査
- AGASACAで外科治療を実施する場合には必須の検査としています。骨盤腔内や小さなリンパ節転移も検出でき、また遠隔転移も評価可能であるため非常に有用です。
- 稀にリンパ節転移が明らかで無い場合にも肺転移が見られることがあります。
臨床ステージング
肛門嚢アポクリン腺がんで用いられているステージ分類
| 臨床ステージ | T 原発巣 | N リンパ節 | M 遠隔転移 |
| Stage 1 | <2.5 cm | N0 なし | M0 なし |
| Stage 2 | >2.5 cm | N0 なし | M0 なし |
| Stage 3a | Any T | N1 <4.5cm | M0 なし |
| Stage 3b | Any T | N1 >4.5cm | M0 なし |
| Stage 4 | Any T | Any N | M1 あり |
上記の表は、2007年にPoltonらが提唱したステージングシステムです。
主に原発巣と転移リンパ節の大きさを元にされていますが、問題点もあります。大型犬と小型犬の区別が無いことや、リンパ節の大きさが4.5cmを基準に分類されていますが、なぜこの大きさなのかも不明であることです。ただ、他に有益な分類が無いので現在もこれが用いられています。
治療
外科治療
現時点では治療の中心は外科治療です。
1. 原発巣切除(図2参照)
- 閉鎖式肛門嚢切除術
- マージンを広く取った切除ができない部位であるため、辺縁切除で完全切除を目指します。
- 切除断端の完全性は無再発期間や生存期間とは相関しません。
- 合併症率は約10%:創の裂開、直腸穿孔、感染、便失禁※、漿液腫など
- 局所再発は12-18%
※侵襲度の高い手術を含む昔の報告では便失禁率は19% と高かったのですが、現在は 2%程度と低く、しかも通常は一時的であることが多いです。

(図2)左肛門嚢腫瘤を切除しているところ
2. 腰下リンパ節群切除 (図3参照)
- 転移リンパ節群を切除することにより 生存期間延長が得られます。
- 腫大したリンパ節が骨盤腔狭窄や高Ca血症の原因になっている場合、切除で症状緩和・QOL改善が得られます。
- 骨盤腔内の仙骨リンパ節が、慎重な鈍性剥離で切除できない場合、骨盤骨切りが必要になることがあります。その際、筆者は(図4)のように骨盤の骨切りを行いリンパ節切除を実施しており、切除後にこの骨は戻していません(切除しています)。
- 合併症率 0-12%: 出血※、切除不能、リンパ節の破綻、後肢の一時的浮腫などがあります。
- 転移腰下リンパ節群切除後に再発した場合、再切除できる場合は再切除することもあり、複数研究において生存期間の延長が示されています。
※出血は稀に致死的になりうるため、術前クロスマッチが推奨されています。

(図3)腰下リンパ節群の切除が完了したところ

(図4)腰下リンパ節群切除の際に実施されることがある、骨盤の骨切り
3. 緩和的な骨盤切除(部分的恥骨坐骨切除)
- リンパ節転移が切除後に再発して骨盤腔狭窄が生じ、排便困難に再度陥ることがあります。
- 再切除できるなら再切除しますが、切除不能病変となっていた場合には緩和的に(図5)の様な部分的恥骨坐骨切除を実施することがあります。
- これにより排便可能となる症例がいます。
- 一時的な歩様異常が認められますが、その後通常歩行が可能になります。

(図5)緩和的に実施されることがある、部分的恥骨坐骨切除
放射線治療(RT)
- 外科切除不能病変や術後の局所制御・再発抑制目的で使用されます。
- 緩和/根治意図の多様なRTプロトコルが報告されており、肉眼病変に対する反応率は38–75%とされます(分割・寡分割いずれも)。
- 術後のRTには肛門周囲の局所再発抑制効果は無い、という報告もあるため、術後の微小残存病変への有効性(局所制御)は現時点では不明です。今後の研究が期待されます。
化学療法と分子標的治療
化学療法
残念ながら術後補助的化学療法の有効性(生存期間延長)を支持する報告は現時点では存在しません。
しかし、AGASACAは転移率が極めて高い癌であることから、臨床の現場では過去の報告で多少なりとも肉眼病変に抗腫瘍活性を示したカルボプラチンが術後の補助的化学療法に使用されることがあります。
分子標的治療
トセラニブ(Palladia®)が犬のAGASACAである程度の効果を示します。
多治療抵抗例32頭の後ろ向き研究のデータでは、
- 反応持続 10–47週
- PR 25%
- SD 63%
- 臨床的有用率(PR+SD)88%
- 高Ca血症が改善した例も記載があります。
他にも奏効率0 %、SD 87%、臨床的有用率 87%という報告や、奏効率21%、臨床的有用率69%という報告もあります。しかし、術後補助療法として使用した2020年の報告では、残念ながら明らかな有効性は認められていません。
予後・ステージ別生存の要点
臨床ステージ分類別の予後 (JVIM 2007 Polton & Brearleyらの報告:上記の表)
- Stage 1:MST 約40か月
- Stage 2:MST 約24か月
- Stage 3a:MST 約15–16か月
- Stage 3b:MST 約10–11か月
- Stage 4:MST <3か月
※MST: 中央生存期間
肺転移あり(JAVMA2003 Williamsら)
- MST 219日(〜7.3ヶ月)
大規模研究 VSSO 2021 (n= 1331)からのデータ(preliminary data)
- 肛門嚢に限局したAGASACA(上記Stage 1&2)(n= 756)
- 局所再発率 19.6%(再発までの中央値644日)
- リンパ節転移 25.6%
- 遠隔転移 7.1%(肺3.6%, 肝臓2%, 脾臓1.6%, 骨1.1%)
- 片側性:全MST 1928日
- 両側性:全MST 1027日(同時発生 723日, 段階的発生1233日)
- RTは局所再発の予防にならなかった
- 術後化学療法もRTもリンパ節転移の予防にならない
- 生存期間に対する術後のリンパ節転移の影響
- リンパ節転移あり → MST 794日
- リンパ節転移なし → MST 達せず
- リンパ節転移の治療がMSTを有意に改善した
- 治療ありMST 485日 vs 治療なし MST84日
- リンパ節転移の治癒率
手術39.3%、手術と化学療法36%、手術とRT 100%、 手術とRTと化学療法33.3%、
化学療法のみ2.9% - 化学療法は遠隔転移も予防できなかった
- 遠隔転移:手術のみ6.8% vs 手術+化学療法7.6%
- 遠隔転移した犬で化学療法は生存期間を有意に改善した
- 化学療法あり MST 305日 化学療法なしMST 129日
これらの結果から、リンパ節転移が生じる前に早期発見し、外科切除を行うことで長期生存が期待できると考えられます。
また、少なくともステージ1および2においては、適切な外科切除が行われていれば、補助的化学療法や放射線治療(RT)の追加は必ずしも必要ではなく、その有用性は限定的である可能性が示唆されます。
一方で、リンパ節転移が認められた場合には、外科切除を含む積極的な治療介入により、生存期間の延長が得られる可能性があります。
さらに興味深い点として、化学療法はリンパ節転移および遠隔転移の発生を予防する効果は示されなかったものの、遠隔転移が出現した症例に対して化学療法を実施することで、生存期間の延長が得られていることが報告されています。
大規模研究VSSO 2015(n= 585)データより
- 腰下リンパ節転移(Stage3)を伴う犬の予後
- 肛門嚢切除のみ → MST 358日
- 肛門嚢切除+腰下リンパ節群切除 → MST 546日
- 肛門嚢切除+腰下リンパ節群切除+化学療法 → MST 1927日
- 死因
- LN転移 55.2%
- 遠隔転移 22.8%
- 局所再発 18.6%
終わりに
AGASACAは原発腫瘍が小さい段階では臨床徴候に乏しい一方で、早期からリンパ節転移を来しうる腫瘍です。そのため、成犬の一般身体検査において肛門嚢の触診を習慣化し、早期発見につなげることが極めて重要です。リンパ節転移が生じる前に外科切除を行うことで、長期生存が期待できます。
リンパ節転移を伴わないステージ1、2においては、適切な外科切除が予後を大きく左右し、補助療法の役割は限定的である可能性が示唆されています。一方で、腰下リンパ節群に転移が認められた場合においても、これらを積極的に外科切除することにより、生存期間の延長が得られることが報告されています。AGASACAの診療においては、病期を正確に評価したうえで、原発腫瘍のみならず腰下リンパ節群を含めた外科的介入を検討することが、治療成績の向上につながると考えられます。
ご紹介の流れ
肛門嚢アポクリン腺癌と診断された、または疑われる患者様を当院にご紹介の場合は、紹介フォーム(リンクが開きます)にて腫瘍科をご指定ください。紹介フォームにより、診療情報を事前にご提供いただくことで、よりスムーズな医療連携が可能となりますのでご協力をお願いいたします。
なお、患者様の来院予約は別途必要です。当日・翌日のご予約をご希望の場合は診療時間内に下記番号までお電話をお願いいたします。2日後以降の日程でも差し支えない場合は、当院初診のご家族様にはこちらの新患様予約申込(リンクが開きます)からご入力いただくようお伝えください。翌診療日に当院よりお電話し新患様の来院予約を確定いたします。
患者様が当院に来院歴がある場合は、ご家族様から当院へ直接ご連絡いただくようお伝えください。
松原本院 ☎ 072-331-3493
大阪府松原市田井城2-1-7
天満橋医療センター ☎ 06-6354-4140
大阪府大阪市北区天満3-2-16